Tuberculose mata 4 mil brasileiros por ano; conheça a doença e os sintomas
À CNN Rádio, o pneumologista Marcelo Rabahi alertou para a falta de empenho para combater a doença no país

A próxima sexta-feira marca o Dia Mundial de Combate à Tuberculose.
À CNN Rádio, no Correspondente Médico, o pneumologista Marcelo Rabahi alertou que a doença mata 4 mil brasileiros todos os anos, com 90 mil casos diagnosticados.
“São mais de 10 óbitos diariamente, para uma doença que sabemos o agente, tem diagnóstico e tem cura”, afirmou.
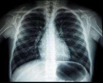
A tuberculose é uma doença infecciosa, transmitida por uma bactéria, que atinge especialmente os pulmões.
“Os sintomas são tosse fraca, persistente e febre baixa, e, por isso, a pessoa acaba ficando com a condição por mais tempo e demorando para o diagnóstico.”
A tosse por mais de 2 semanas deve servir de alerta, de acordo com Rabahi.
“Neste tempo a pessoa deve procurar a unidade de saúde para investigação, e os profissionais de saúde precisam entender que não é coisa do passado, está muito presente.”
De acordo com ele, é “relativamente fácil” fazer o diagnóstico, com um teste de escarro, disponível no SUS, e raio-x de pulmão.
Com o teste positivo, pode dar andamento ao tratamento medicamentoso, que oferece “cura em 97% dos casos, se feito corretamente.”
O médico também reforçou a necessidade de vacinação contra a tuberculose, que apresentou queda na cobertura nos últimos anos.
“É um perigo grande, porque ela protege contra formas graves da doença, em especial na infância.”
Mesmo assim, ele lembra que a condição atinge as pessoas em todas as idades e que é preciso empenho dos agentes públicos para combatê-la.
Fatores de risco são diabetes, tabagismo, uso excessivo de álcool, imunidade comprometida e desnutrição.
*Com produção de Isabel Campos


