Máquina de ressonância revela 1ª imagem do cérebro humano com alta precisão
Aparelho considerado o mais potente do mundo trouxe registros inéditos do órgão; descoberta poderá auxiliar na detecção e tratamento de doenças como o Alzheimer
A Comissão de Energia Atômica da França (CEA), compartilhou, na terça-feira (2), imagens inéditas de alta precisão do cérebro humano, realizadas através da máquina de ressonância "mais poderosa do mundo". A descoberta pode ser importante para detectar doenças neurodegenerativas como o Alzheimer e Parkinson.
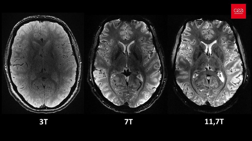
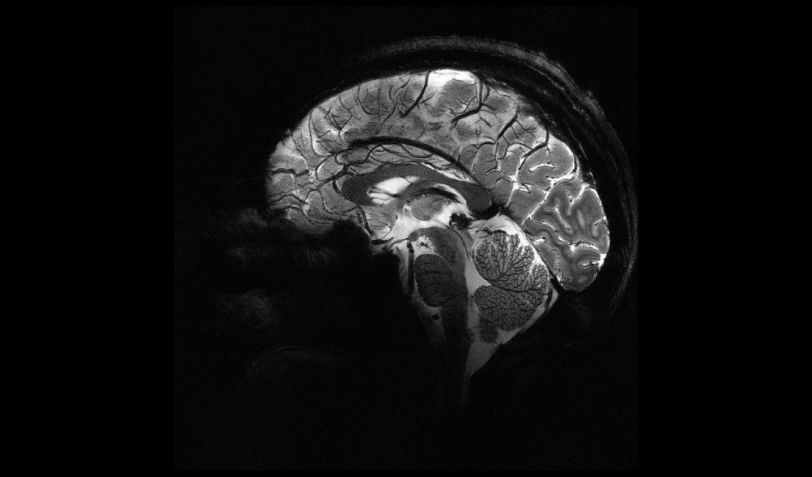
As novas imagens são fruto de mais de 20 anos de pesquisa e desenvolvimento sobre o scanner Iseult, atualmente considerado como o aparelho de ressonância magnética mais poderoso do mundo, possuindo uma intensidade de campo magnético de 11,7 teslas, maior do que aparelhos normalmente utilizados em hospitais, que chegam no máximo a três teslas.

O Iseult foi capaz de adquirir as imagens do cérebro humano em apenas 4 minutos. Em outros aparelhos, as imagens na mesma qualidade seriam detectadas depois de horas e não seriam realistas, pois, segundo a CEA, os pacientes não se sentiriam confortáveis e qualquer movimento 'desfocaria' a imagem".

O objetivo da nova máquina é estudar cérebros humanos saudáveis e doentes utilizando a alta resolução como apoio, que permitirá descobrir novos detalhes relacionados à anatomia, conexões e atividade do cérebro humano.
"Neurocientistas, físicos, matemáticos e médicos trabalharam juntos para desenvolver ferramentas e modelos que ajudarão a compreender melhor como funcionam os cérebros saudáveis e doentes, expandindo os horizontes das explorações do cérebro humano", explica Anne-Isabelle Etienvre, Diretora de Pesquisa Fundamental do CEA, em comunicado à imprensa.
"Com o projeto Iseult, um mundo totalmente novo se abre diante dos nossos olhos e estamos entusiasmados em explorá-lo. Ainda precisamos de vários anos de investigação para desenvolver e melhorar os nossos métodos de aquisição e garantir que os dados tenham a mais alta qualidade possível", diz Nicolas Boulant, Chefe do projeto e Diretor de Investigação do CEA, também em comunicado.
Detectando doenças neurodegenerativas
A nova descoberta terá impacto na pesquisa médica. Segundo a CEA, as imagens de alta precisão apoiarão o diagnóstico e os cuidados de saúde para doenças neurodegenerativas, como Alzheimer e Parkinson.
Além disso, também facilitará a detecção elementos químicos que são difíceis de capturar em campos magnéticos inferiores ao Iseult a fim de avaliar com precisão sua eficácia no cérebro, como o lítio, composto presente em medicamentos usados para tratar transtornos bipolares.
"Nosso objetivo é investigar doenças neurodegenerativas até 2026-2030, bem como outras doenças que se enquadram mais na psiquiatria, como esquizofrenia e transtornos bipolares. As ciências cognitivas também terão uma importância fundamental na nossa investigação", ressalta Nicolas Boulant.


